FIX RECEDING GUMS AND GUM GRAFT ALTERNATIVE
a new minimally-invasive procedure
The Chao Pinhole Technique / gum graft alternative.
Dr. Ressler is both a gum specialist and a recognized expert in the treatment of gum recession. The Chao Pinhole method is surprisingly comfortable and usually takes less than an hour. No incisions or stitching are required. Unlike gum grafting, no gum tissue needs to be taken from the roof of the mouth.
Dr. Ressler is one of the most experienced Pinhole gum surgeons in South Florida, and was personally trained in California by Dr. Chao, the inventor of this revolutionary technique.
How the Chao technique works to repair your receding gums.
This gum graft alternative (gum rejuvenation or “lunch-time gum lift”) is performed through a tiny pinhole made in the gum well above the teeth with specialized instruments to gently loosen and gradually reposition the gums back to a healthier, more beautiful, and youthful position. Dr. Ressler places soft pieces of resorbable collagen (that gradually melt away) to support and stabilize the new gum line, without using gum grafts!
The pinhole usually disappears completely within 24 to 48 hours and patients typically take only need to take over-the-counter acetaminophen or ibuprofen for a few days following the treatment visit. Exposed roots are often covered completely, and the teeth are protected from further erosion. Dr. Ressler usually recommends a soft nightguard (and gentle brushing) to help prevent recurrence of gum recession.
Dr. Ressler is one of the few periodontists in Boca Raton, Delray Beach, and Boynton Beach to be personally trained and certified in California by Dr. Chao, the creator of the pinhole technique, a highly proven method and alternative to many gum graft procedures.
Your new gumline in about an hour!
- No scalpel incisions!
- No stitches!
- No gum taken from roof of the mouth!
- Fast healing and minimally invasive!
- Less discomfort than traditional grafting!
- Works for upper and lower teeth!
- Instantly recognizable results!
Why correct receding gums?
- Protect your teeth from further erosion.
- Prevent continued gum recession.
- Reduce sensitivity to hot and cold.
- Rejuvenate your gum line
- Prevent loosening and loss of teeth
- Improve your appearance!
- Look younger with normal teeth.
Fixing receding gums and saving your teeth
Recent success stories from some of Dr. Ressler's actual patients
Finally, a less-invasive alternative to repair gum recession without gum grafting or stiching!
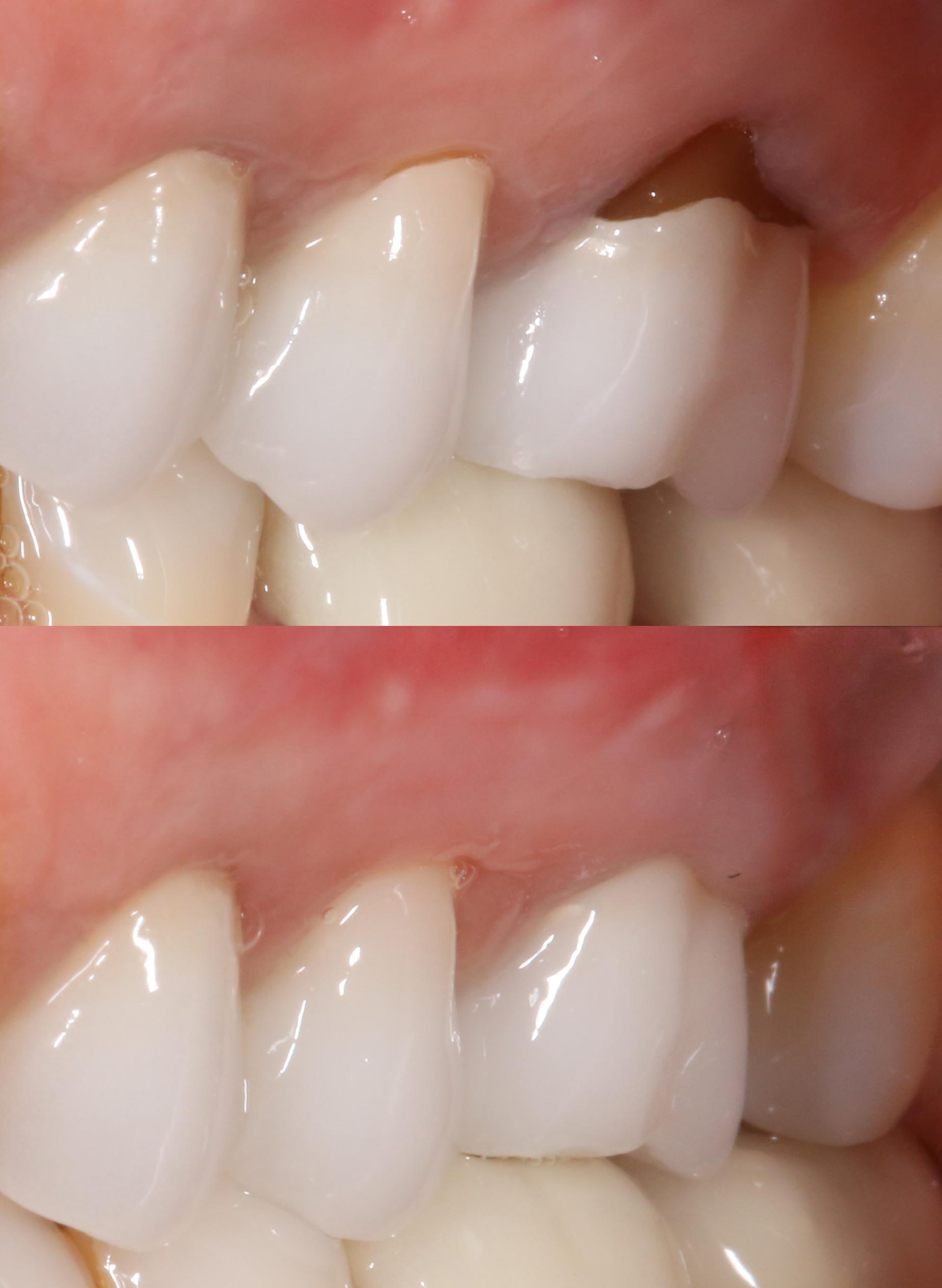
Jessie noticed the gum pulling away from her teeth. She was told by her previous dentist that she needed gum surgery with gum taken from the roof of her mouth.
Worried about pain and discomfort, Jessie came to see Dr. Ressler hoping to find an alternative to gum grafting. Because she had plenty of healthy gum
tissue that simply needed to be repositioned, Jessie was an excellent candidate for the Chao pinhole method to correct her receding gums.
BEFORE and AFTER
The Chao pinhole gum procedure is a revolutionary, less invasive technique that can correct your receding gums.
It is done with local anesthetic, takes about an hour, and can provide beautiful, long-lasting results.
Talk to Dr. Ressler to find out if the Chao pinhole technique can help you.
Our modern process:
- First step: total cleaning!
- Photos & measurements
- Local anesthetic only
- Lift & reposition gums
- See results that day!
Amazing benefits:
- Coverage of exposed roots
- Reversal of gum damage
- Reduced sensitivity
- Long term protection
- Saving teeth!
* actual before & after dental photos - some information and photography substituted to maintain patient anonymity
Dr. Ressler is an experienced Boca Raton and Boynton Beach gum specialist and has been personally trained and certified in California by Dr. Chao, the creator of the pinhole technique, a highly proven method and alternative to many gum graft procedures.
Another recent Chao pinhole gum procedure
before and after
6 months photos
performed by
Lawrence Ressler, D.M.D.
gum surgical specialist
The gum correction was performed with only local anesthetic at 9 a.m., the patient returned immediately to work later that morning, and needed no special pain medicine after the procedure. He told everyone in our office that he was so glad Dr. Ressler provided this alternative to taking gum from the roof of his mouth, and that he was amazed at how good the Chao pinhole repair to his gums both looked and felt!
Any questions?
Call our office at 561.499.7400 and a friendly member of our office staff will be pleased to answer any questions you may have or to schedule a consultation to find out if you are a candidate for the Chao Pinhole or any of our other minimally-invasive techniques!
HOW TO FIX RECEDING GUMS VIDEO GALLERY
Meet the inventor of the technique, Dr. Chao, and watch him explain his revolutionary technique for fixing receding gums without gum grafts. Hear the stories of actual patients who have benefited from the procedure on national and local news stories. See their amazing "before and after" results!
Dr. Ressler was personally trained by Dr. Chao in California and certified in the Pinhole Surgical Technique. Dr. Ressler is one of the most experienced pinhole surgeons in the Boca Raton, Delray, and Boynton Beach area and performs the procedure routinely in his office. Dr. Chao has also referred patients who live in Florida to Dr. Ressler for performance of his pinhole technique.
Did you know?
Dr. Ressler is both a periodontal surgical specialist and a recognized expert in the treatment of gum disease.
Multiple teeth with gum recession can be treated with the Chao technique in only one appointment!
This alternative to traditional gum grafts (the "Chao Pinhole Technique") is performed through a tiny hole made in the gum well above the teeth with special instruments to loosen and gradually lift the gums to cover exposed roots. Dr. Ressler places soft strips of resorbable collagen (that gradually melt away) to support and stabilize the new gum line, without using traditional gum grafts!
The pinhole method can also be used in combination with other techniques, including traditional tissue grafting methods, where inadequate attached gum tissue exists around the necks of teeth with receding gums. Either way, patients typically only take over-the-counter medicines such as acetaminophen or ibuprofen for a few days following the treatment visit. Exposed roots are often covered completely, and more importantly, the teeth are protected from further erosion of the gums.
Many patients are not aware that a primary cause of gum recession is often night-time clneching or even grinding of teeth, which most patients do not realize they are doing. For this reason, Dr. Ressler usually recommends a soft nightguard (and gentle brushing) to help prevent recurrence of gum recession.
Dr. Ressler is one of the few gum specialists in Boca Raton, Delray Beach, and Boynton Beach to be personally trained and certified in California by Dr. Chao, the creator of the revolutionary pinhole method, a highly proven alternative to many gum graft procedures.
Academic and Professional Credentials
Over 20 years of clinical experience in implant dentistry and periodontics
University of Pennsylvania
Doctor of Dental Medicine (D.M.D.)
Philadelphia, PA
Advanced studies in cosmetic dentistry
New York University
Periodontics/Dental Implantologythree-year specialist residency
New York City, NY
Call us at 561.499.7400 to schedule a consultation visit today!
SPECIAL OFFER
Chao pinhole vs. gum grafts: a more comfortable alternative!
Patients generally love this procedure, as there is usually a very fast recovery, and the improvement in appearance is immediate. Patients with gum recession in the past had no alternative to gum tissue being taken from the roof of the mouth. The need for large amounts of gum tissue made treating multiple teeth with gum recession difficult, uncomfortable, and time-consuming. The Chao Pinhole Surgical Technique (PST) covers multiple teeth more easily, works equally well for both upper and lower teeth, is less invasive, and the results are usually predictable, stable, and long-lasting.
Scientifically validated.
Gum treatments to repair receding gums must be supported by research and evidence insuring that they are both safe and effective before they can be incorporated into clinical practice. Dr. Chao’s Pinhole technique and the creator’s patient study data was published in the prestigious International Journal of Periodontics and Restorative Dentistry in 2012. The study concluded that the technique was effective, predictable, minimally-invasive and had an exceptionally high rate of patient satisfaction.
State-of-the-art care by a gum specialist.
Choosing a periodontist is an important decision for you, especially when thinking about restoring receding gums. Dr. Ressler has established one of the most technologically advanced dental offices in the Boca-Delray-Boynton (Palm Beach County) area. His office is equipped with an in-office 3-dimensional CT scanner to help plan and place dental implants safely and efficiently. Dr. Ressler is also one of the few doctors in the area to incorporate an medical-grade operating microscope for periodontal treatments, use an advanced laser system for treatment of gum disease, create CEREC same-day (no-temporary needed) porcelain crowns printed right in the office, and offer piezo technology as a modern alternative to the dental drill. Personally trained and certified by Dr. Chao in California, Dr. Ressler is highly experienced in the Pinhole technique to treat receding gums.
Top causes of receding gums
- Overly aggressive brushing.
- Clenching or grinding teeth.
- Genetics and anatomy of your mouth.
- Gum disease.
- Previous periodontal surgery.
- Previous orthodontic treatment.
What to expect on your first visit
- A personal meeting with Dr. Ressler.
- An examination of your teeth and gums.
- Any needed dental x-rays will be taken.
- Treatment options will be reviewed.
- An estimate of costs will be provided.
- Review gum graft alternative options.
Do you have gum disease with bone loss or inflamed gums?
Treatment for gum disease requires even more help than simply fixing receding gums. Gum treatment aims to remove
calculus (tartar) and bacterial plaque from under the gum line. In its early stages, gum problems can often be treated with
scaling and root planing which is essentially a deep cleaning under the gum line after numbing the teeth and gums.
For patients with more moderate or advanced gum disease and bone loss, more advanced treatment is often required to properly
clean out deeper deposits of disease-causing calculus (tartar) and to repair and regenerate lost bone that supports the teeth.
Laser gum treatment now permits treatment without cutting or stitching
and with minimal discomfort following the procedure.
Click here to learn more about how laser gum treatment can help you save your teeth.
Any questions?
Call our office at 561.499.7400 and a friendly member of our office staff will be pleased to answer any questions you may have about our practice or your particular dental needs!
Call our office today at 561.499.7400 and a friendly member of our office staff will be pleased to answer any questions you may have about our practice or your particular dental needs!
Be sure to ask us about our current SPECIAL OFFERS and INTERNET PROMOTIONS when you call our office! We make dental treatment affordable!
Click HERE for Map and office location
Our convenient office is located between Boca Raton and Delray Beach on Jog Road with easy access from Boynton Beach and Lake Worth via I-95 and the Turnpike (Atlantic Ave. exit).
We are minutes away from almost everywhere in Palm Beach County.
People just like you are coming from from all over Palm Beach County and South Florida for dental treatment with Dr. Ressler.
Our patients visit us from:
Deerfield Beach, Boca Raton, Delray Beach, Boynton Beach, Lake Worth, Wellington, West Palm Beach, and Palm Beach Gardens.
-
“I really like Dr. Ressler! He is kind, extremely informative, a perfectionist and has the latest technology at his office. I am extremely nervous about going to the dentist, but Dr. Ressler put me at ease immediately. His staff lovely! He recently made me a nightguard ( I grind my teeth) and replaced a crown that had tooth decay underneath. He even showed me the x-ray of what it looked like before and after he replaced the crown, so I could see the crown was sealed perfectly. Extremely satisfied. - A.G. ”
-
“I want to thank Dr. Ressler and his group for great dental care. Starting last May, he performed several deep cleanings and gum surgeries for me and was able to save my teeth, gums and smile from advanced periodontal disease.
I wasn't the easiest of patients... Dr. Ressler, as well as his team are all very gentle and were able to put me at ease during the procedures. Now I am consistently brushing and flossing and have my old smile back. I am very happy with my results. - H.R.”
-
“It didn't take me long to gain full confidence in Dr. Ressler. His knowledge regarding my condition became apparent during my first consultation, and his work was exemplary. Thank you so much! - B.S.”
-
“I can highly recommend Dr. Ressler. The results that I had from the Pinhole technique for gum recession that Dr. Ressler performed was amazing. His staff was very professional and extremely helpful when I encountered difficulties in getting mouth x-rays from another dental office. His office is immaculately clean and he takes great effort in maintaining sterile conditions. I give him and his office a five star plus rating. - P.W.”
-
“Dr. Ressler is an amazing dentist. I knew I was in great hands when he put the anesthesia, just flawless :-) the man has hands of gold! I am in love with my new crown engineered and done in a couple of hours, while at the office...no temporary crown! The material and color that he used for my crown matches so well with the rest of my teeth. I also loved how friendly everyone was at his office. Immaculate work. I am smiling all day :-) - J.M.”
-
“Dr. Ressler is. wonderful dentist who happens to be a perfectionist - always satisfied with the results. Wonderful staff. - G.K.”
Any questions?
Call our office at 561.499.7400 and a friendly member of our office staff will be pleased to answer any questions you may have about our practice or your particular dental needs!
div class="clearfix">
15300 Jog Road, Suite 201 - Delray Beach, FL 33446
just south of Atlantic Ave. on Jog Rd - 5 minutes north of Boca, 5 minutes south of Boynton
SCHEDULE ONLINE 24/7
(This is the fastest way to set things up.)
(new patients only)
address
15300 Jog Road - Suite 201
Boca-Delray, FL 33446 USA
phone
561.499.7400 - current patients
561.499.7400 - for new patients
e-mail
info@resslerdental.com
Office hours and telephone coverage from
9:00AM till 5:00 PM (Mon-Thurs)
Our office is conveniently located between Boca Raton and Delray Beach on Jog Road with easy access from Boynton Beach and Lake Worth via Interstate-95 and the Turnpike (Atlantic Ave. exit).
I want to schedule a new patient appointment! Sign me up!
(Please have any dental insurance information ready.)
OPTION 1: 
SCHEDULE 24/7 HERE
Make an appointment online!
(new patients only)
Our electronic appointment book
is always open and it's the fastest way
to set things up!
Please have any dental insurance info ready.
Book on-line, in less than 2 minutes!
OPTION 2:
SCHEDULE BY PHONE
Prefer talking to us directly?
Dr. Ressler and staff would love
to hear from you!
Please call us during office hours.
tel 561.499.7400
(Mon-Thurs 9AM-5PM)
OPTION 3:
SEND US A MESSAGE
Questions? Just want a call back?
Leave us a quick note.
You will hear from us promptly -
usually within one business day.
This option is great for a brief question -
or to arrange a future phone call.